خانه
مطالب اصلی
ماهی شناسی و فیزیولوژی
انواع بیماری های ماهی ها
تصاویر میکروسکوپی بیماریان آبزیان
درباره ما
تماس با ما
بستن
بازگشت
خانه
مطالب اصلی
ماهی شناسی و فیزیولوژی
انواع بیماری های ماهی ها
تصاویر میکروسکوپی بیماریان آبزیان
درباره ما
تماس با ما
دنبال چی چیزی میگردین؟
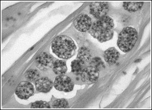
pelistophora
pelistophora
pelistophora-mycrosporidi
0
نظر
بدون نظر
ثبت نظر برای این محصول
ثبت نظر
اطلاعات مرتبط
بخاری31
هگزامیتا و اسپیرونوکلئوس
نکروز عفونی مراکز خونساز
مژه داران پایه دار
مخملک
لیپوئیدوز
کاپیلاریا
داکتیلوژیروس و ژیروداکتیلوس
پاسخ های التهابی در ماهیان
بیماری های ماهی ناشی از سخت پوستان
BACK TO TOP