خانه
مطالب اصلی
ماهی شناسی و فیزیولوژی
انواع بیماری های ماهی ها
تصاویر میکروسکوپی بیماریان آبزیان
درباره ما
تماس با ما
بستن
بازگشت
خانه
مطالب اصلی
ماهی شناسی و فیزیولوژی
انواع بیماری های ماهی ها
تصاویر میکروسکوپی بیماریان آبزیان
درباره ما
تماس با ما
دنبال چی چیزی میگردین؟
ماهی شناسی و فیزیولوژی
BIOL404FeedingDigestion
Blood recirculatory system
cardiovascular system of fish
Epitelium and connective tissue
Gas Exchange in fish
اصول نگه داری گلدفیش
هیستولوژی دستگاه تنفس ماهی
Ichthyology ماهي شناسي
MUSCLE
Nervous system
Respiratory system
Systematic Ichthyology 1
Systematic Ichthyology 2
skin پوست
خط جانبی
خوراک ماهیان قزل آلا
کیسه شنا فیزوکلیست
تصاویر میکروسکوپی بیماری های آبزیان
Cryptocaryon
amphilina
amyloodinium
anizakis
aphano
aphanomyces
argolus
argulus
argulus
bothriocephalus_scorpii
botrio
botriocephal-egg
branchimycos
camallanous
capillaria
chilinodella_CB01
chilod
chilodonella
clinos
clinostomum
cocsidios-eimeria
criptobia
Crypto-01
cryptobia
dactylo
dactylogyrus
diphyllo
diphyllobothrium
diphyllobothrium-latum
diplostomulum2
Diplostomum-spathaceum
Dlatum_egg_
eimeria
epis
epistiliis
Ergasilus
Ergasilus-sieboldi
gyro
gyroda
gyrodactylus
ich
icht
ichthyophthirius-multifiliis
ictio5
isopoda
lernaea
lernea
l-hole-in-head-disease-spironucleus-hexamita-flagellates-protoopalina
Ligula-intestinalis
myxo
Myxobolus portucalensis Sporen (c) Klaus Knopf
myxosporidi
nematode
OodiniumA
parasites-metazoan
pelis
pelistophora
ppelis
saprolegnia
Saprolegniasis-in-C-idella
spores-in-sporangium saprolegnia
Tinca
trichodena1
Trypanorhyncha-genus-Molicola-larval-stage
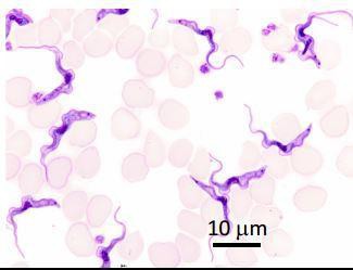
Trypanosoma-evansi-rat-blood-Giemsa-stain
انواع بیماری های ماهی ها
AQUARIUM & ORNAMENTAL FISH
Aquatic Diseases
Bacteriology
FISH DISEASES
Columnaris Disease
Hexamita and Spironucleus
Ichthyophithirus
Medical Management of Disease
Infectious pancreatic necrosis (ipn)
Bacterial Diseases of Fish
Bacterial diseases
Ligula intestinalis & Digrama
Vibrio, Aeromonas, Plesiomonas, & Campylobacter
Motile Aeromonad Infection
Mycobacteriosis Tuberclosis
Ichthyobodosis
Saprolegniosis
SBI))svc
Chilodonellosis
Viral hemorrhagic septicemia
Yersiniosis
Edwardsiella
Amyloodinium
انگل های خونی ماهیان
بوتریوسفالوس و چیلودونلا
بیماری های ماهی ناشی از سخت پوستان
پاسخ های التهابی در ماهیان
داکتیلوژیروس و ژیروداکتیلوس
کاپیلاریا
لیپوئیدوز
مخملک
مژه داران پایه دار
نکروز عفونی مراکز خونساز
هگزامیتا و اسپیرونوکلئوس
فروشگاه تجهیزات نگهداری آبزیان
بخاری31
BACK TO TOP